CASOS CLÍNICOS
Manifestaciones orales de la sífilis secundaria
Oral manifestations of secondary syphilis.
Manifestações orais da sífilis secundária.
https://doi.org/10.35954/SM2024.43.2.6.e501
Bettina Bilhalva a https://orcid.org/0009-0002-3726-5515
Noelia Dura b https://orcid.org/0009-0005-9921-8468
María Lucía Lapi Corradi c https://orcid.org/0009-0004-0727-671X
María Lys Locatelli Lencina d https://orcid.org/0009-0008-3174-3567
(a) Fuerza Aérea Uruguaya. Brigada Aérea No. 1. Servicio Sanitario. Canelones, Uruguay.
(b) Armada Nacional República Oriental del Uruguay. Centro Asistencial Área Naval del Puerto. Montevideo, Uruguay.
(c) Fuerza Aérea Uruguaya. Base Aérea Cap. Boiso Lanza. Servicio Sanitario. Montevideo, Uruguay.
(d) Estado Mayor General del Ejército. Instituto Geográfico Militar. Servicio Odontológico. Montevideo, Uruguay.
Cómo citar este artículo / Citation this article / Como citar este artigo
Bilhalva B, Dura N, Lapi Corradi ML, Locatelli Lencina ML. Manifestaciones orales de la sífilis secundaria. Salud Mil [Internet]. 8 de octubre de 2024 [citado DD de MM de AAAA];43(2):e501. Disponible en: https://revistasaludmilitar.uy/ojs/index.php/Rsm/article/view/435 DOI: 10.35954/SM2024.43.2.6.e501.
Introducción: actualmente la sífilis es considerada un problema de salud pública por su creciente incidencia. Aunque la misma ha ido disminuyendo desde la introducción de las penicilinas, se está experimentando un resurgir atribuible al incremento de la población inmunodeprimida y al aumento de las conductas sexuales de riesgo.
Metodología: se realizó una revisión de la literatura de artículos publicados en los últimos 10 años en español, inglés y portugués. Se consultaron las bases de datos MedLine/PubMed, BVS de Bireme, y página web del Ministerio de Salud Pública. Se utilizaron los descriptores: Cavidad Oral, Enfermedades de Transmisión Sexual, Infecciones por Treponema, Manifestaciones Bucales, Sífilis y Treponema pallidum
Discusión: la Organización Mundial de Salud ha desarrollado planes para disminuir las enfermedades de transmisión sexual y las muertes relacionadas a estas. La meta para 2030 es reducir en un 90% la incidencia de sífilis a nivel mundial. Para ello, se requiere definir las poblaciones específicas, y contar con políticas de estado que brinden recursos para mantener las medidas de una manera sostenible. Nuestro país no es ajeno a este aumento de casos registrados, por lo cual es de suma relevancia que el personal de salud se encuentre actualizado acerca de las manifestaciones clínicas de esta enfermedad que muchas veces simulan otras entidades patológicas.
Objetivo: reportar el caso de un paciente con lesiones orales como manifestación de sífilis secundaria. Este artículo destaca la importancia de reconocer las manifestaciones orales en diversas etapas de la enfermedad, subrayando la necesidad de que los odontólogos estén familiarizados con estos signos para permitir un diagnóstico temprano.
Conclusiones: un diagnóstico precoz es crucial para prevenir complicaciones adicionales y la propagación de la enfermedad.
PALABRAS CLAVE: Cavidad Oral; Enfermedades de Transmisión Sexual; Infecciones por Treponema; Manifestaciones Bucales; Sífilis; Treponema pallidum.
Introduction: Syphilis is currently considered a public health problem due to its increasing incidence. Although its incidence has been decreasing since the introduction of penicillins, it is experiencing a resurgence attributable to the increase in the immunocompromised population and to the increase in risky sexual behaviors.
Methodology: A literature review of articles published in the last 10 years in Spanish, English and Portuguese was carried out. The databases MedLine/PubMed, BVS of Bireme, and the web page of the Ministry of Public Health were consulted. The following descriptors were used: Oral Cavity, Sexually Transmitted Diseases, Treponemal Infections, Oral Manifestations, Syphilis and Treponema pallidum.
Discussion: The World Health Organization has developed plans to reduce sexually transmitted diseases and related deaths. The goal for 2030 is to reduce the incidence of syphilis by 90% worldwide. To achieve this, it is necessary to define specific populations, and to have state policies that provide resources to maintain the measures in a sustainable manner. Our country is no stranger to this increase in registered cases, so it is of utmost relevance that health personnel are updated about the clinical manifestations of this disease that often simulate other pathological entities.
Objective: To report the case of a patient with oral lesions as a manifestation of secondary syphilis. This article highlights the importance of recognizing oral manifestations in different stages of the disease, emphasizing the need for dentists to be familiar with these signs to allow an early diagnosis.
Conclusions: Early diagnosis is crucial to prevent further complications and spread of the disease.
KEYWORDS: Oral Cavity; Sexually Transmitted Diseases; Treponemal Infections; Oral Manifestations; Syphilis; Treponema pallidum.
Introdução: A sífilis é atualmente considerada um problema de saúde pública devido à sua crescente incidência. Embora sua incidência tenha diminuído desde a introdução das penicilinas, ela está experimentando um ressurgimento atribuível ao aumento da população imunocomprometida e ao aumento dos comportamentos sexuais de risco.
Metodologia: Realizamos uma revisão da literatura de artigos publicados nos últimos 10 anos em espanhol, inglês e português. Foram consultados os bancos de dados MedLine/PubMed, BVS da Bireme e o site do Ministério da Saúde Pública. Foram utilizados os seguintes descritores: Cavidade Oral, Doenças Sexualmente Transmissíveis, Infecções por Treponema, Manifestações Bucaias, Sífilis e Treponema pallidum.
Discussão: A Organização Mundial da Saúde desenvolveu planos para reduzir as doenças sexualmente transmissíveis e as mortes relacionadas. A meta para 2030 é reduzir a incidência de sífilis em 90% em todo o mundo. Para isso, é necessário definir populações específicas e ter políticas de Estado que forneçam recursos para manter as medidas de forma sustentável.
Nosso país não está alheio a esse aumento de casos registrados, por isso é de extrema importância que os profissionais de saúde estejam atualizados sobre as manifestações clínicas dessa doença, que muitas vezes simula outras entidades patológicas.
Objetivo: Relatar o caso de um paciente com lesões orais como manifestação de sífilis secundária. Este artigo destaca a importância do reconhecimento das manifestações orais em vários estágios da doença, ressaltando a necessidade de os dentistas estarem familiarizados com esses sinais para possibilitar o diagnóstico precoce.
Conclusões: O diagnóstico precoce é fundamental para evitar complicações adicionais e a disseminação da doença.
PALAVRAS-CHAVE: Cavidade Oral; Doenças Sexualmente Transmissíveis; Infecções por Treponema; Manifestações Bucaias; Sífilis; Treponema pallidum.
Recibido para evaluación: mayo 2024.
Aceptado para publicación: junio 2024.
Correspondencia: Base Aérea Cap. Boiso Lanza. Av. Don Pedro de Mendoza 5553. Montevideo, Uruguay. Tel: (598) 22224400 int.1404.
E-mail de contacto: div.odontologia@fau.mil.uy
La sífilis es una enfermedad infecciosa de origen bacteriano, producida por el Treponema pallidum (1).
Su principal vía de transmisión es sexual, por contacto directo con úlceras en órganos genitales, ano, boca o piel de pacientes infectados (2).
Puede manifestarse a través de diversas formas entre las que son más frecuentes las lesiones cutáneas, trastornos vasculares y neurológicos. Otra vía de transmisión es la transplacentaria, donde la madre embarazada le transmite la enfermedad al feto (a través de la placenta o durante el parto), lo que se conoce como sífilis congénita con características particulares, como ser la tríada de Hutchinson (que consiste en sordera, incisivos en forma de destornillador y/o molares en forma de mora y queratitis ocular intersticial) y otras similares a la de la sífilis secundaria en adultos. Menos frecuente es la transmisión a través de la leche materna. La mayoría de los casos de sífilis ocurren en adultos jóvenes (3).
Se presenta en tres estadios sintomáticos secuenciales separados por períodos asintomáticos. El contagio se produce en los dos primeros estadios de la enfermedad. Su diagnóstico se realiza a través de pruebas serológicas dependiendo del estadio en el que se encuentre la enfermedad (4).
Luego de un período de incubación de aproximadamente 3 semanas comienza a haber manifestaciones clínicas de la enfermedad (5).
En la sífilis primaria se observa una lesión conocida como chancro sifilítico que coincide con el lugar de inoculación, acompañada de adenopatías. Puede aparecer en cualquier parte del cuerpo, es generalmente indolora y sus localizaciones más frecuentes son pene, ano y recto en hombres; vulva, cuello uterino y periné en mujeres. Fuera de la zona genital aparecen en labios o boca. En muchos casos esta lesión pasa desapercibida por el paciente y generalmente se cura de forma espontánea en un período de entre 3 y 12 semanas. Un porcentaje de los pacientes no tratados desarrollan sífilis secundaria. El Treponema pallidum se disemina por vía sanguínea y provoca manifestaciones en piel (sarpullido) y mucosas además de adenomegalias generalizadas entre 6 y 12 semanas posteriores a la identificación del chancro. En menor proporción se manifiestan síntomas en otros órganos. Es frecuente la presencia de fiebre, anorexia, náuseas, odinofagia, dolor muscular y cansancio. Otras manifestaciones menos frecuentes son dolor de cabeza, sordera, trastornos visuales, alopecia (sólo en el 4% de los pacientes), etc.
La sífilis latente puede ser precoz o tardía, puede durar años. No hay signos ni síntomas de la enfermedad, pero los estudios serológicos siguen evidenciando persistencia de anticuerpos. Aproximadamente un tercio de los pacientes no tratados desarrollan sífilis terciaria mucho tiempo después del primer contacto con el Treponema. Esta tiene múltiples manifestaciones y puede clasificarse en términos clínicos como sífilis terciaria benigna, sífilis cardiovascular y neurosífilis.
La enfermedad puede provocar daños en cerebro, nervios, ojos, corazón, vasos sanguíneos, hígado, huesos y articulaciones. En los últimos años, en nuestro país se registró un aumento significativo en el número de casos de sífilis reportados al Ministerio de Salud Pública (MSP), como lo muestra la tabla 1 (1,6,7).
El objetivo de este trabajo es presentar el caso de una lesión sifilítica en cavidad oral, y evidenciar el valor de un diagnóstico preciso y rápido que aumente la eficacia de tratamiento para el paciente y para las parejas sexuales del mismo evitando más contagios.
Tabla 1. Número de notificaciones de sífilis según departamento. Uruguay, 2020-2022.
Extraído de Ministerio de Salud Pública.

IA: incidencia acumulada, cada 100 mil habitantes según la proyección poblacional Instituto Nacional de Estadística.
Fuente: elaborado por el Departamento de Vigilancia en Salud con datos del sistema informático SG DEVISA. Los datos se encuentran sujetos a modificaciones producto de la mejora de calidad del registro. En el año 2023 se reportaron 5402 casos nuevos de sífilis, siendo 2056 en el departamento de Montevideo (7).
Manifestaciones orales de sífilis
En un 21-58% de los pacientes se presentan lesiones mucocutáneas y/o mucosas, parches mucosos y condiloma en áreas orales y/o genitales (también denominados condilomas planos). La sífilis primaria oral puede manifestarse como una úlcera solitaria en el labio y de forma más rara en la lengua o paladar. Son úlceras profundas, de base eritematosa, color púrpura o marrón y de bordes irregulares y sobreelevados, que se acompañan de adenopatías. Requieren hacer diagnóstico diferencial con otra clase de úlceras orales, como las traumáticas, y otra clase de lesiones como el carcinoma oral de células escamosas, donovanosis (granuloma inguinale) y linfoma no Hodgkin entre otras. Las lesiones que aparecen en la sífilis secundaria son más extensas y variadas, tipo parches mucosos y lesiones maculopapulares, en paladar duro, mucosa yugal, comisuras labiales, faringe, encías y amígdala.
En la sífilis terciaria aparece la goma sifilítica (protuberancias), leucoplasia sifilítica, neurosífilis y la sífilis cardiovascular. La goma sifilítica suele aparecer en el paladar duro y en la lengua, la leucoplasia sifilítica en el dorso de la lengua, y la neurosífilis puede manifestarse como neuropatía trigeminal y parálisis facial e incluso pupila de Argyll Robertson (afectación del III par craneal) (3,8).
Diagnóstico
El diagnóstico de la enfermedad se basa en los signos y síntomas clínicos, examen microscópico y pruebas serológicas. Estas últimas son el método más común para la detección, el diagnóstico y el seguimiento del tratamiento. Las mismas pueden ser no treponémicas y específicas o treponémicas (1,6,8).
Tratamiento
El tratamiento de elección para la sífilis primaria y la secundaria no complicada es una única dosis de 2,4 UI/millón de penicilina G benzatínica administrada de forma intramuscular. En caso de alergias a las penicilinas, se podrá administrar doxiciclina.
En el caso de la sífilis latente, gomatosa o cardiovascular se sugiere una inyección de penicilina G benzatínica una vez a la semana durante tres semanas y en alérgicos se optará por tetraciclinas (1,6,8).
CASO CLÍNICO
Hombre de 25 años de edad, residente en la ciudad de Montevideo, Uruguay, se presenta en la consulta odontológica particular por una lesión localizada en lengua, de más de una semana de evolución.
Durante el interrogatorio, respecto a los antecedentes personales patológicos, no se encontraron enfermedades, afecciones o eventos médicos que haya experimentado en el pasado, aunque se destaca del mismo que tuvo una lesión ulcerada en zona genital, indolora, autolimitada que no revistió importancia por parte del paciente, la cual se resolvió espontáneamente. El examen clínico extraoral, no detecta adenomegalias palpables, destacándose una zona de alopecia a nivel del parietal derecho (figura 1), mientras que al examen intraoral se observa la mucosa normocoloreada y la bucofaringe sin lesiones.
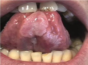
En la zona motivo de consulta, se aprecia en cara ventral de lengua dos placas blanquecinas, una de mayor magnitud en parte media de lengua, y otra de menor extensión en la mitad izquierda de la misma, ambas indoloras (figura 2). Se pregunta al paciente si presenta al momento alguna otra lesión en el cuerpo, lo cual niega. El diagnóstico presuntivo fue de sífilis secundaria, por lo que se solicitó crasis sanguínea y estudios serológicos complementarios de diagnóstico: reacción plasmática rápida (RPR) mide los anticuerpos (AC) liberados por las células huésped dañadas así como también por los treponemas. Dichos AC no sólo se producen como consecuencia de la sífilis sino también en respuesta a enfermedades no treponémicas de naturaleza aguda y crónica donde hay daño tisular. Por dicho motivo se realiza una segunda prueba más específica para detectar AC contra el treponema que causa la sífilis una de ellas es AC anti Treponema pallidum. utilizando el método de la quimioluminiscencia. También hepatitis B, C y VIH a fin de ampliar el protocolo de infecciones de transmisión sexual. El RPR arrojó un valor de 1024 unidades siendo el resultado óptimo: 0–0,001 y la quimioluminiscencia de 28.10 considerando que a partir de 1.0 ya es positiva, mientras que las demás pruebas serológicas resultaron no reactivas (figura 3).

Figura 1. Alopecia localizada.

Figura 2. Lesión en cara ventral de lengua.

Figura 3A. Pruebas serológicas.

Figura 3B. Pruebas serológicas.
Se interrogó al paciente sobre su pareja, para remitir los mismos estudios, y niega tener pareja estable así como usar métodos de barrera, considerándose estos datos factores de riesgo para la enfermedad.
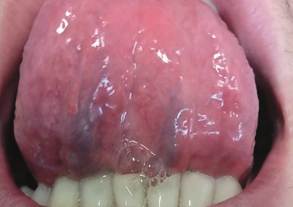
Confirmado el diagnóstico de sífilis secundaria, se realizó la correspondiente derivación del paciente al centro de salud para recibir el tratamiento adecuado, donde fue medicado con tres dosis de penicilina G benzatínica 2.400.000 UI intramuscular. Post tratamiento se controló al paciente observando una notable mejoría de la lesión, evolucionando a la remisión de la misma (figuras 4A y 4B).

Figura 4A. Control luego de iniciado el tratamiento observándose una reducción de la lesión.

Figura 4B. Control luego de iniciado el tratamiento observándose una reducción de la lesión.
Las lesiones orales producidas por la sífilis son por lo general, inespecíficas, y en ocasiones son la única manifestación de la enfermedad. La mayoría de los casos se dan en adultos jóvenes siendo más prevalente en el género masculino. El estadio donde más pacientes son diagnosticados es el secundario, ya que el primario suele ser asintomático con resolución de lesiones de forma espontánea, pasando desapercibido, y menos aún en el estadio terciario debido a la introducción de las penicilinas y métodos anticonceptivos de barrera.
En cuanto al diagnóstico de esta enfermedad, es complicado, ya que puede simular otras enfermedades clínica e histológicamente. Es importante incluir las lesiones sifilíticas en el diagnóstico diferencial de úlceras, exantemas y erosiones inespecíficas (8,9).
La sífilis es una infección bacteriana que puede simular diversas enfermedades. Por ello es importante tenerla presente a la hora de realizar el diagnóstico diferencial de diversas lesiones orales, sobre todo aquellas que se presentan de forma ulcerosa, indurada y asintomática. Es de suma importancia que los profesionales del área de la salud y en especial los odontólogos se familiaricen con esta patología, resaltando la importancia de mantener sospecha de infección sifilítica cuando un paciente presenta linfadenopatía y una lesión oral. Se valora especialmente en estos casos la anamnesis ya que puede orientarnos hacia conductas de riesgo que colaboran en el diagnóstico presuntivo. Es una enfermedad con buen pronóstico, pues con un diagnóstico temprano y la instauración de un tratamiento adecuado las lesiones se resuelven con éxito (8,10).
(1) Seibt CE, Munerato MC. Secondary syphilis in the oral cavity and the role of the dental surgieron in STD prevention, diagnosis and treatment: a case series study. Braz J Infect Dis 2016 Jul-Aug; 20(4):393-398. https://doi.org/10.1016/j.bjid.2016.03.008
(2) Little JW. Syphilis: An update. Oral Surg Oral Med Oral Pathol Oral Radiol Endod [Internet]. 2005; 100(1):3-9. https://doi.org/10.1016/j.tripleo.2005.03.006
(3) Queirós C, da Costa JB. Oral Transmission of Sexually Transmissible Infections: A Narrative Review. Acta Med Port 2019 Dec 2; 32(12):776-781. https://doi.org/10.20344/amp.12191
(4) Silva ÂAO, Lima AA, Vasconcelos L de CM, Almeida RA de, Freitas NEM de, Habib FL, et al. Performance Assessment of Treponemal and Nontreponemal Tests for the Diagnosis of Acquired Syphilis. Am J Trop Med Hyg 2024 Apr 9; 110(6):1237-1244. https://doi.org/10.4269/ajtmh.23-0238
(5) Straight KL, Paranal RM, Musher DM. The oral manifestations of syphilitic disease: a case report. J Med Case Rep 2019 Jul 26; 13(1):227. https://doi.org/10.1186/s13256-019-2171-z
(6) Hertel M, Matter D, Schmidt-Westhausen AM, Bornstein MM. Oral syphilis: series de 5 cases. J Oral Maxillofac Surg 2014 Feb; 72(2):338-45. https://doi.org/10.1016/j.joms.2013.07.015
(7) Uruguay. Ministerio de Salud Pública. Dirección General de Salud. Documento 12/001/3/ 6565/2023 Actuación: 3 [citado 12 de abril de 2024]. Disponible en: https://www.gub.uy/ministerio-saludpublica/sites/ministerio-salud-publica/files/2024-01/respuesta6565_removed.pdf
(8) Apoita Sanz M, González Navarro B, Jané-Salas E, Marí Roig A, Estrugo Devesa A, López-López J. Sífilis: manifestaciones orales, revisión sistemática. Av Odontoestomatol [Internet]. 2020 Ago [citado 23 de abril de 2024]; 36(3):159-173. Disponible en: http://scielo.isciii.es/scielo.php?script=sci_arttext&pid=S0213-12852020000300005&lng=es https://doi.org/10.4321/s0213-12852020000300005
(9) Hernandez-Bel P., Unamuno B, Sánchez-Carazo J.L, Febrer I, Alegre V. Alopecia sifilítica: presentación de 5 casos y revisión de la literatura. Actas Dermosifiliogr 2013; 104(6):512-517. https://doi.org/10.1016/j.ad.2012.02.009
(10) Boza Oreamuno YV, Boza Oreamuno SM. Sífilis la gran imitadora. Reporte de caso y revisión de la literatura. Odontoestomatología [Internet]. 2021 [citado 22 de abril de 2024]; 23(7):e401. Disponible en: http://www.scielo.edu.uy/scielo.php?script=sci_arttext&pid=S1688-93392021000101401&lng=es https://doi.org/10.22592/ode2021n37a7
CONTRIBUCIONES AL MANUSCRITO:
(a) Concepción, adquisición de datos, interpretación y discusión de resultados.
(b) Diseño, interpretación y discusión de resultados, redacción y revisión crítica.
(c) Análisis de datos, interpretación y discusión de resultados, redacción, revisión crítica y aprobación de la versión final.
(d) Diseño, interpretación y discusión de resultados, redacción y revisión crítica.
NOTA: este artículo fue aprobado por el Comité Editorial.
Salud Mil 2024;
43(2):1-9. https://doi.org/10.35954/SM2024.43.2.6.e501 e-ISSN 1688-0633.