CASOS CLÍNICOS
Luxación congénita de rodilla: presentación de un caso clínico
Congenital Knee Dislocation: Case Report.
Luxação Congénita do Joelho: Apresentação de um Caso Clínico.
https://doi.org/10.35954/SM2025.44.1.8.e502
Mara González a https://orcid.org/0009-0006-2836-3067
Ana Laura Casuriaga Lamboglia b https://orcid.org/0000-0002-1122-5147
Alicia López Draguer c https://orcid.org/0009-0000-8937-783X
Gustavo Giachetto d https://orcid.org/0000-0003-3775-4773
(a) Administración de los Servicios de Salud del Estado, Hospital Regional de Tacuarembó. Residente de pediatría. Tacuarembó, Uruguay.
(b) Universidad de la República, Facultad de Medicina. Prof. Adj. Unidad Académica Pediatría “C”. Montevideo, Uruguay.
(c) Administración de los Servicios de Salud del Estado, Hospital Regional de Tacuarembó. Jefa del Servicio de Pediatría. Tacuarembó, Uruguay.
(d) Universidad de la República, Facultad de Medicina. Prof. Unidad Académica Pediatría “C”. Montevideo, Uruguay.
Cómo citar este artículo / Citation this article / Como citar este artigo
González M, Casuriaga Lamboglia AL, López Draguer A, Giachetto G. Luxación congénita de rodilla: presentación de un caso clínico. Salud Mil [Internet]. 12 de marzo de 2025 [citado DD de MM de AAAA]; 44(1):e502. Disponible en: https://revistasaludmilitar.uy/ojs/index.php/Rsm/article/view/446 DOI: 10.35954/SM2025.44.1.8.e502
Introducción: la luxación congénita de rodilla es una patología poco frecuente, de etiología no completamente aclarada que se caracteriza por la hiperextensión de la rodilla al nacer.
Objetivo: comunicar el caso de una patología de baja incidencia, relevante por su frecuente asociación con otras anomalías congénitas que requiere de un abordaje diagnóstico-terapéutico precoz y multidisciplinario.
Caso clínico: niña de 1 año de vida. Sin antecedentes prenatales ni perinatales a destacar. En la exploración física al nacer se destaca: en rodilla izquierda marcada hiperextensión, sin alteración de miembro inferior derecho. Maniobras de Barlow y Ortolani negativas bilateralmente. No presenta dismorfias, resto del examen normal. En las primeras horas luego del nacimiento, se realiza radiografía de rodilla que confirma la luxación de rodilla. Interconsulta con traumatología, indica inmovilización con yeso cruropédico por 6 semanas. Alta a las 48 horas de vida, controles con traumatología y pediatría que cumple regularmente. A los 11 meses de vida recuperación satisfactoria. El desarrollo motor es adecuado, al año de vida logró bipedestación normal.
Conclusiones: el diagnóstico de luxación congénita de rodilla se basa en la observación clínica mediante la inspección de recién nacido en las primeras horas de vida y la confirmación mediante radiografía simple, tal como ocurrió en el caso analizado. El tratamiento conservador consiste en la colocación de una férula cruropédica que debe instaurarse precozmente con el objetivo de conseguir una flexión de 90°. El tratamiento conservador tiene una alta probabilidad de éxito, lográndose en la mayoría de los casos una función articular normal como en el caso descrito.
El tratamiento quirúrgico estará indicado si la respuesta al tratamiento conservador no es adecuada.
PALABRAS CLAVE: Anomalías Congénitas; Extremidad Inferior; Huesos de la Extremidad Inferior; Luxación de la Rodilla; Recién Nacido; Tratamiento Conservador; Traumatología.
Introduction: Congenital dislocation of the knee is a rare pathology, whose etiology is not completely clarified, characterized by hyperextension of the knee at birth.
Objective: To report a case of a low incidence pathology, relevant due to its frequent association with other congenital anomalies that requires an early and multidisciplinary diagnostic-therapeutic approach.
Case Report: A 1-year-old female patient with unremarkable prenatal and perinatal history. Physical examination at birth showed: marked hyperextension of the left knee, without alteration of the right lower limb. Barlow and Ortolani maneuvers negative bilaterally. There were no dysmorphias, the rest of the examination was normal. In the first hours after birth, a knee x-ray was performed which confirmed the knee dislocation. Consultation with traumatology, indicating immobilization with a cruropedic cast for 6 weeks. Discharged at 48 hours of life, controls with traumatology and pediatrics, which he complies with regularly. At 11 months of life, satisfactory recovery. Motor development is adequate, at one year of life she achieved normal standing.
Conclusions: The diagnosis of congenital dislocation of the knee is based on clinical observation by inspection of the newborn in the first hours of life and confirmation by simple radiography, as occurred in the case analyzed. Conservative treatment consists of placement of a cruropedic splint that should be instituted early with the aim of achieving 90° flexion. Conservative treatment has a high probability of success, with normal joint function being achieved in most cases as in the case described. Surgical treatment is indicated if the response to conservative treatment is not adequate.
KEYWORDS: Congenital Abnormalities; Lower Extremity; Bones of Lower Extremity; Knee Dislocation; Newborn; Conservative Treatment; Traumatology.
Introdução: A luxação congênita do joelho é uma patologia rara, cuja etiologia ainda não foi completamente esclarecida e que se caracteriza pela hiperextensão do joelho ao nascimento.
Objetivo: Relatar um caso de uma patologia de baixa incidência, relevante devido à sua frequente associação com outras anomalias congênitas, que requer uma abordagem diagnóstica-terapêutica precoce e multidisciplinar.
Relato de caso: Menina de 1 ano de idade. Ela não tinha histórico pré-natal ou perinatal relevante. O exame físico ao nascimento revelou: hiperextensão acentuada do joelho esquerdo, sem alteração do membro inferior direito. As manobras de Barlow e Ortolani foram negativas bilateralmente. Não havia dismorfias, e o restante do exame era normal. Nas primeiras horas após o nascimento, foi realizada uma radiografia do joelho, confirmando a luxação do joelho. Consulta com a traumatologia, indicando imobilização com gesso cruropédico por 6 semanas. Alta após 48 horas de vida, check-ups regulares com a traumatologia e a pediatria. Aos 11 meses de vida, recuperação satisfatória. O desenvolvimento motor é adequado e, com um ano de vida, ele consegue ficar em pé normalmente.
Conclusões: O diagnóstico de luxação congênita do joelho é baseado na observação clínica por inspeção do recém-nascido nas primeiras horas de vida e confirmação por radiografia simples, como ocorreu no caso analisado. O tratamento conservador consiste em uma tala cruropédica que deve ser aplicada precocemente com o objetivo de alcançar 90° de flexão. O tratamento conservador tem alta probabilidade de sucesso, com a função articular normal sendo alcançada na maioria dos casos, como no caso descrito. O tratamento cirúrgico é indicado se a resposta ao tratamento conservador for inadequada.
PALAVRAS-CHAVE: Anormalidades Congênitas; Extremidade Inferior; Ossos da Extremidade Inferior; Luxação do Joelho; Recém-Nascido; Tratamento Conservador; Traumatologia.
Recibido para evaluación: diciembre 2024.
Aceptado para publicación: marzo 2025.
Correspondencia: Hospital Regional de Tacuarembó. Treinta y Tres Orientales 444, C.P: 45000. Tel.: (+598) 4632 2955. Tacuarembó, Uruguay.
E-mail de contacto: anitacasuriaga7@gmail.com
La luxación congénita de rodilla (LCR) también conocida como genu recurvatum congenitum, es una alteración anatómica poco frecuente. Fue descrita inicialmente por Chanssier en 1812 y luego por Chatelain en 1822, quienes la caracterizaron como una deformidad en genu recurvatum presente al nacimiento (1-3).
Predomina en niñas, no se observan diferencias en la afectación de rodilla derecha o izquierda y en hasta un tercio de los casos el compromiso es bilateral. Se ha informado una incidencia de 1 por cada 100.000 recién nacidos, siendo su frecuencia 80 a 100 veces menor que la displasia de cadera (2,4).
La etiología no se conoce con exactitud, si bien se han postulado varias teorías. Entre estas se destacan que pueda atribuirse a un defecto mecánico, embriológico primario o mesenquimatoso durante el desarrollo fetal, ya que frecuentemente están asociados a otras patologías o síndromes. Puede relacionarse a factores extrínsecos como presión intrauterina anormal y posición de las nalgas en el momento del parto o intrínsecos como disbalances neuromusculares y anormalidades genéticas. Casos más severos pueden ocurrir en pacientes con síndromes como Síndrome de Turner, Down, Lasen y Ehlers-Danlos. Se ha descrito además asociación con otras anomalías congénitas musculo esqueléticas como la luxación congénita de cadera (45%), deformidades del pie (31%) y luxación congénita de codo o incluso anomalías de otros sistemas como labio leporino, espina bífida, hidrocefalia, ano imperforado y cardiopatías. Dada la frecuente asociación con otras anomalías congénitas, es necesario realizar una evaluación exhaustiva del neonato con luxación congénita de rodilla, valorando todos los sistemas que pueden presentar afectación en forma minuciosa (2,4,5).
A continuación, se presenta el caso clínico de una recién nacida con una luxación congénita de rodilla. El objetivo es exponer una patología de baja incidencia, relevante por su frecuente asociación con otras anomalías congénitas que requiere de un abordaje diagnóstico y terapéutico precoz y multidisciplinario.
Primera infancia 1 año de vida, sexo femenino. Antecedentes personales: producto de primera gestación, embarazo bien controlado, sin complicaciones. Ecografías prenatales normales. Parto vaginal eutrófico a las 39 semanas, recién nacida vigorosa, adecuada para la edad gestacional. En la exploración física en sala de parto se destaca: en rodilla izquierda marcada hiperextensión (figura1), sin alteración de miembro inferior derecho. Maniobras de Barlow y Ortolani negativas bilateralmente. No presenta dismorfias, resto del examen sin alteraciones a destacar.

Figura 1. Exploración física luego del nacimiento. Luxación Congénita de Rodilla izquierda, con limitación para la flexión, resto del examen físico normal.

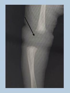
Figura 2. Estudio radiológico del caso donde se observó una luxación tipo III.
En las primeras horas luego del nacimiento, se realiza radiografía de rodilla que confirma la luxación de rodilla (figura 2).
Se solicita interconsulta con traumatología, quien indica inmovilización con yeso cruropédico por 6 semanas.
Se otorga alta a las 48 horas de vida con controles pautados con traumatología y pediatría que cumple regularmente. Buen crecimiento, desarrollo adecuado en todas las áreas.
A los 11 meses de vida concurre a control con traumatólogo, se realiza radiografía evolutiva (figura 3) que muestra recuperación satisfactoria. El desarrollo motor es adecuado, al año de vida logró bipedestación normal.
La LCR es una patología poco frecuente con manifestaciones clínicas heterogéneas que van desde una hiperextensión con continuidad hasta una luxación completa (1,2,6).
![]() |

Figura 4. Clasificación de Leveuf: A) hiperextensión, B) subluxación y C) luxación. Extraído de Arvinius, C, Luque, R, Díaz- Ceacero, C, Marco, F, 2016 (7).
La anomalía anatómica característica es el desplazamiento de la tibia sobre los cóndilos femorales con la subsecuente dislocación rotuliana, generando según su complejidad diversos grados de discapacidad (1,4).
Las luxaciones pueden clasificarse de acuerdo a sus características clínicas y radiológicas. La clasificación Laurence y Curtis Fischer se subdivide en: tipo I o recurvatum grave de la rodilla, tipo II o subluxación de la tibia sobre el fémur y tipo III o luxación completa de rodilla, tal como se observa en el caso clínico descrito Leveuf y Paris clasifican la deformidad en tres grupos (5,7) (figura 4).
El tipo A es el más frecuente y no constituye una luxación sino una hiperextensión congénita con una flexión pasiva limitada a 90°. En el tipo B, se observa una subluxación con pérdida de la congruencia articular y en el tipo C hay una pérdida completa de la misma (7).
El diagnóstico se basa en la observación clínica mediante la inspección de recién nacido en las primeras horas de vida donde se observa la hiperextensión marcada de la rodilla en contraposición a la postura habitual en flexión.
La radiografía simple confirma el diagnóstico y no suele ser necesaria la realización de otros estudios de imagen como la resonancia magnética (1,2).
En la paciente analizada el diagnostico se confirmó en las primeras horas de vida mediante la observación clínica y la radiografía simple lo que permitió iniciar medidas terapéuticas precoces (8).
En relación al tratamiento, el mismo puede ser conservador o quirúrgico. El tratamiento conservador consiste en la colocación de una férula cruropédica que debe instaurarse precozmente con el objetivo de conseguir una flexión de 90°. El tratamiento conservador tiene una alta probabilidad de éxito, lográndose en la mayoría de los casos una función articular normal. Cuando no se obtiene una respuesta adecuada al tratamiento con férulas, podrá indicarse el tratamiento quirúrgico (8).
En el presente caso, se realizó tratamiento conservador con la colocación de una férula en las primeras 24 horas de vida. La instauración precoz del tratamiento mejora el pronóstico. Se mantiene la férula cruropédica durante 6 semanas que es el período de tiempo necesario para la cicatrización del tendón cuadricipital elongado. El seguimiento se realiza mediante la exploración clínica, radiografía simple evolutiva y ecografía de cadera de manera de descartar la asociación con la luxación congénita de cadera presente en el 45% de los pacientes con LCR (4,10).
En este caso puntualmente se logró tras el tratamiento médico una flexión de 90° completa y no se encontró asociación con displasia de cadera. La paciente mostró una excelente evolución con una recuperación completa, desarrollo motor adecuado, logrando al año de vida una bipedestación normal.
Sin la instauración precoz y adecuada de tratamiento pueden aparecer secuelas como dolor, rigidez o inestabilidad en la marcha y generar un impacto funcional considerable (8).
La etiología de la luxación congénita de rodilla no está completamente aclarada. En el caso que se observa, no se identificaron factores predisponentes en la etapa prenatal ni perinatal. La ausencia de rasgos fenotípicos particulares y de otras malformaciones permitió alejar el planteo de un síndrome genético. Se trata del primer caso de LCR en la familia y la mayoría de los mismos son esporádicos (9).
DECLARACIÓN DE CONFLICTOS DE INTERESES: los autores no reportan ningún conflicto de interés. El estudio se realizó con recursos propios de los autores y/o la institución a la que representan.
No uso de IA: los autores declaran que no se utilizó Inteligencia Artificial para la conceptualización o redacción de este artículo.
DECLARACIÓN ÉTICA: se obtuvo el consentimiento informado por escrito de la persona para la publicación de cualquier imagen o dato potencialmente identificable incluido en este artículo. Se obtuvo el consentimiento por escrito y firmado del paciente para la publicación de este caso clínico.
(1) Yeoh M, Athalye-Jape G. Congenital kneedislocation: a rare and unexpected finding. BMJ Case Rep 2021; 14(1):e234881. https://doi.org/10.1136/bcr-2020-234881
(2) Çıraklı S, Çıraklı A. Neglected intrauterine bilateral congenital knee dislocation. Jt Dis Relat Surg 2021; 32(2):542-545. https://doi.org/10.52312/jdrs.2021.79966
(3) Salvador Marín J, Miranda Gorozarri C, Egea-Gámez RM, Alonso Hernández J, Martínez Álvarez S, Palazón Quevedo Á. Luxación congénita de rodilla: Protocolo terapéutico y resultados funcionales a largo plazo. Rev Esp Cir Ortop Traumatol 2021; 65(3):172-179. https://doi.org/10.1016/j.recote.2021.02.005
(4) Ochoa L, Sánchez J, García E, Marulanda K, Almonte K, Guerrero C. Luxación congénita de rodilla: a propósito de 2 casos clínicos. An Pediatr (Barc) 2015; 82(1):e139-42. https://doi.org/10.1016/j.anpedi.2014.03.006
(5) Cheng CC, Ko JY. Early reduction for congenital dislocation of the knee within twenty-four hours of birth. Chang Gung Med J 2010; 33(3):266-73. PMID: 20584504.
(6) Laso Alonso AE, Fernández Miaja M, Castro Torre M, Menéndez González A. Luxación congénita de rodilla. An Pediatr (Barc) 2021; 95(5):389-390. https://doi.org/10.1016/j.anpedi.2020.10.025
(7) Arvinius C, Luque R, Díaz-Ceacero C, Marco F. Luxación congénita de rodilla: a propósito de un caso. Acta ortop mex [Internet]. 2016 Jun [citado 20 Ago 2024]; 30(3):147-149. Disponible en: http://www.scielo.org.mx/scielo.php?script=sci_arttext&pid=S2306-41022016000300147&lng=es
(8) Culqui Carvajal CF, Calderón Villa LA, Concha M. Tratamiento conservador en luxación congénita de rodilla: reporte de un caso y revisión de la literatura. Rev Cubana Reumatol 2019; 21(Supl 1):1-7.
(9) Morales-Roselló J, Loscalzo G, Hueso-Villanueva M, Buongiorno S, Jakaitė V, Perales-Marín A. Congenital knee dislocation, case report and review of the literature. J Matern Fetal Neonatal Med 2022; 35(4):809-811. https://doi.org/10.1080/14767058.2020.1731464
CONTRIBUCIONES AL MANUSCRITO:
(a) Diseño, adquisición y análisis de datos, interpretación y discusión de resultados, redacción, revisión crítica.
(b) Diseño, adquisición y análisis de datos, interpretación y discusión de resultados, redacción, revisión crítica y aprobación de la versión final.
(c) Diseño, adquisición y análisis de datos, interpretación y discusión de resultados, redacción, revisión crítica.
(d) Concepción, diseño, adquisición y análisis de datos, interpretación y discusión de resultados, redacción, revisión crítica.
NOTA: este artículo fue aprobado por el Comité Editorial.