
CASOS CLÍNICOS
Síndrome antifosfolipídico catastrófico
Catastrophic antiphospholipid syndrome
Síndrome antifosfolípide catastrófica
https://doi.org/10.35954/SM2026.45.1.7.e501
Maria Lorena Debernardis a https://orcid.org/0009-0007-2949-5827
Maria Alejandra de Vargas
Moraes b https://orcid.org/0009-0004-1002-8872
María Lucrecia Martin c https://orcid.org/0009-0009-7909-0160
Ana Karen Yedrzejewski d https://orcid.org/0009-0009-6580-4855
(a) Dirección Nacional de Sanidad de las Fuerzas
Armadas. Hospital Central de las Fuerzas Armadas. Departamento de Emergencia.
Montevideo, Uruguay.
https://ror.org/044gxcb75
(b) Dirección
Nacional de Sanidad de las Fuerzas Armadas. Hospital Central de las Fuerzas
Armadas. Departamento de Emergencia. Montevideo, Uruguay.
https://ror.org/044gxcb75
(c) Dirección Nacional de Sanidad de las
Fuerzas Armadas. Hospital Central de las Fuerzas Armadas. Sala de Hematología.
Montevideo, Uruguay.
https://ror.org/044gxcb75
(d) Dirección Nacional de Sanidad de las Fuerzas
Armadas. Hospital Central de las Fuerzas Armadas. Departamento de Emergencia.
Montevideo, Uruguay.
https://ror.org/044gxcb75
Cómo citar este artículo / Citation this article / Como citar este artigo
Debernardis ML, de Vargas MA, Martin ML, Yedrzejewski AK. Síndrome antifosfolipídico catastrófico. Salud Mil [Internet]. 1 de enero de 2026 [citado DD de MM de AAAA]; 45(1):e501. Disponible en: https://revistasaludmilitar.uy/ojs/index.php/Rsm/article/view/471 DOI: 10.35954/SM2026.45.1.7.e501
Introducción: el síndrome antifosfolipídico catastrófico es una variante del síndrome antifosfolípido de baja prevalencia, pero muy importante por su mal pronóstico y alta mortalidad, que se acerca a un 40%. En la patogenia participan mecanismos trombóticos e inflamatorios asociados a la presencia de anticuerpos antifosfolipídicos que afecta a varios órganos de forma simultánea o en un breve espacio de tiempo lo que lleva a una insuficiencia multiorgánica y por lo tanto el tratamiento estará dirigido a atenuar la respuesta inflamatoria y a la prevención de nuevos eventos trombóticos.
Objetivo: destacar la importancia de reconocer las manifestaciones clínicas de esta enfermedad poco frecuente para poder iniciar medidas terapéuticas precoces con la finalidad de aumentar la probabilidad de sobrevida de los pacientes afectados.
Metodología: se analizó el caso clínico de un paciente asistido en el Hospital Central de las Fuerzas Armadas. Se realizó una revisión de la literatura de artículos publicados, reportes de casos y casos clínicos de los últimos 20 años, en español, inglés y portugués, a punto de partida de un paciente asistido en el Hospital Central de las Fuerzas Armadas. No se encontraron casos clínicos y estudios relacionados a pacientes con síndrome antifosfolipídico catastrófico en Uruguay, sí durante el embarazo. Se consultaron las bases de datos de Elsevier, Scielo, MedLine/PubMed, MSD, tratado SER.
Se utilizaron los descriptores: anticoagulante; anticuerpos antifosfolípidos; corticosteroides; enfermedades autoinmunes; inflamación; insuficiencia multiorgánica; síndrome antifosfolípido; trombosis.
Discusión: dado que el síndrome antifosfolipídico catastrófico es una variante de baja prevalencia, pero muy importante por su mal pronóstico y alta mortalidad, es importante reconocer rápidamente el diagnóstico, e iniciar el tratamiento intensivo en forma oportuna, lo que puede cambiar el pronóstico funcional y vital de estos pacientes.
PALABRAS CLAVE: Anticoagulante; Anticuerpos Antifosfolípidos; Corticosteroides; Enfermedades Autoinmunes; Inflamación; Insuficiencia Multiorgánica; Síndrome Antifosfolípido; Trombosis.
ABSTRACT
Introduction: Catastrophic Antiphospholipid Syndrome is a rare variant of Antiphospholipid Syndrome, but it is highly significant due to its poor prognosis and high mortality rate, which approaches 40%. Its pathogenesis involves thrombotic and inflammatory mechanisms associated with the presence of antiphospholipid antibodies, affecting multiple organs simultaneously or within a short period of time. This leads to multiorgan failure, and therefore, treatment is aimed at attenuating the inflammatory response and preventing new thrombotic events.
Objective: To highlight the importance of recognizing the clinical manifestations of this rare disease in order to initiate early therapeutic measures and increase the survival probability of affected patients.
Methodology: The clinical case of a patient treated at the Central Hospital of the Armed Forces was analyzed. A literature review was conducted, including published articles, case reports, and clinical cases from the past 20 years, in Spanish, English, and Portuguese. No clinical cases or studies related to Catastrophic Antiphospholipid Syndrome in Uruguay were found, except during pregnancy. The following databases were consulted: Elsevier, Scielo, MedLine/PubMed, MSD, and the SER textbook.
The descriptors used were: anticoagulant; antiphospholipid antibodies; corticosteroids; autoimmune diseases; inflammation; multiorgan failure; antiphospholipid syndrome; thrombosis.
Discussion: Given that Catastrophic Antiphospholipid Syndrome is a rare variant but with a poor prognosis and high mortality rate, it is crucial to promptly recognize the diagnosis and initiate intensive treatment in a timely manner. This can alter both the functional and vital prognosis of these patients.
KEYWORDS: Antigoagulants; Antibodies Antiphospholipid; Adrenal Cortex Hormones; Autoimmune Diseases; Inflammation; Multiple Organ Failure; Antiphospholipid Syndrome; Thrombosis.
RESUMO
Introdução: A Síndrome Antifosfolípide Catastrófica é uma variante da Síndrome Antifosfolípide de baixa prevalência, porém de grande importância devido ao seu mau prognóstico e alta mortalidade, que se aproxima de 40%. Na patogênese, participam mecanismos trombóticos e inflamatórios associados à presença de anticorpos antifosfolípides, os quais afetam diversos órgãos de forma simultânea ou em um curto intervalo de tempo, levando à insuficiência multiorgânica. Por isso, o tratamento deve ser direcionado à atenuação da resposta inflamatória e à prevenção de novos eventos trombóticos.
Objetivo: Destacar a importância de reconhecer as manifestações clínicas dessa doença rara, a fim de iniciar precocemente medidas terapêuticas que aumentem a probabilidade de sobrevivência dos pacientes afetados.
Metodologia: Foi analisado o caso clínico de um paciente atendido no Hospital Central das Forças Armadas. Foi realizada uma revisão da literatura de artigos publicados, relatos de casos e casos clínicos dos últimos 20 anos, em espanhol, inglês e português. Não foram encontrados casos clínicos ou estudos relacionados a pacientes com Síndrome Antifosfolípide Catastrófica no Uruguai, exceto durante a gestação. Foram consultadas as bases de dados Elsevier, Scielo, MedLine/PubMed, MSD e o tratado SER.
Foram utilizados os descritores: anticoagulante; anticorpos antifosfolípides; corticoides; doenças autoimunes; inflamação; insuficiência multiorgânica; síndrome antifosfolípide; trombose.
Discussão: Considerando que a Síndrome Antifosfolípide Catastrófica é uma variante rara, mas de grande relevância pelo seu mau prognóstico e elevada mortalidade, é essencial reconhecer rapidamente o diagnóstico e iniciar o tratamento intensivo de forma oportuna, o que pode alterar o prognóstico funcional e vital desses pacientes.
PALAVRAS-CHAVE: Anticoagulante; Anticorpos Antifosfolípides; Corticoides; Doenças Autoimunes; Inflamação; Insuficiência Multiorgânica; Síndrome Antifosfolípide; Trombose.
El síndrome antifosfolípido (SAF) fue descrito y caracterizado durante la segunda mitad del siglo XX, inicialmente como un fenómeno protrombótico secundario en el contexto de otras enfermedades del tejido conectivo, principalmente Lupus Eritematoso Sistémico (LES). Sin embargo, el estudio de pacientes con enfermedad primaria impulsó a distintos consensos, tanto clínicos como de laboratorio, para su correcta identificación (1).
Se trata de una enfermedad autoinmune caracterizada por tromboembolismo arterial o venoso, enfermedad microvascular, manifestaciones no trombóticas como trombocitopenia, y/o morbilidad en el embarazo como abortos a repetición o partos prematuros, con anticuerpos antifosfolipídicos persistentemente positivos, como son anticoagulante lúpico (AL), anticuerpos anticardiolipinas (anti-CL) y anti-beta-2-glicoproteína I (anti-β2-GPI) (2,3).
Entre los pacientes con SAF se destaca la forma de presentación catastrófica, descrito por Asherson en el año 1992 como una variante rara que afecta a menos del 1% de los pacientes con SAF. La misma conduce a insuficiencia multiorgánica, caracterizada por la oclusión trombótica de los vasos de pequeño calibre, que se produce en un breve período de tiempo en presencia de anticuerpos antifosfolipídicos. En pocos días, el paciente desarrolla distrés respiratorio, falla renal con hipertensión severa, y compromiso cerebral, cardíaco, digestivo o cutáneo (4,5).
Es una patología de baja prevalencia, pero muy importante por su mal pronóstico (mortalidad superior al 50%) (6).
La rareza de este síndrome, lo hace extraordinariamente difícil de estudiar en forma sistemática, es por esto que en el año 2000 se creó un registro internacional de pacientes con síndrome antifosfolipídico catastrófico (SAFc), que se conoce como CAPS Registry, con el objetivo de correlacionar todos los reportes de casos publicados, así como también los casos nuevos diagnosticados, alrededor de todo el mundo. Actualmente recopila los datos clínicos, de laboratorio y de tratamiento de más de 400 pacientes y su acceso y consulta es en línea (7).
El tratamiento está basado en la identificación de algún factor precipitante, en la prevención de las trombosis mediante la anticoagulación con Warfarina, y en la terapia combinada de corticosteroides, recambios plasmáticos, e inmunoglobulinas intravenosas dirigido a la inflamación sistémica. Se ha descrito buena respuesta al tratamiento con biológicos como el Rituximab y el Eculizimab en casos refractarios. Aun cuando existen estas pautas terapéuticas, la mortalidad sigue siendo elevada acercándose a un 40% (2).
CASO CLÍNICO
A continuación, se presentará el caso clínico de un paciente que desarrolló SAF catastrófico, atendido en el Hospital Central de las Fuerzas Armadas.
Hombre de 40 años, como antecedente personal patológico presentaba una diabetes no insulino requiriente e hipertensión arterial sin control ni tratamiento. Consultó en puerta de emergencia por cuadro de 12 horas de evolución dado por dolor, cianosis y frialdad de 3°, 4° y 5° dedo mano derecha, sin sintomatología de similares características en otras regiones vasculares, sin mediar traumatismos, en apirexia. Del interrogatorio no se encontraron eventos médico-quirúrgicos de similares características que haya presentado con anterioridad.
Al examen el paciente se encontraba lúcido, hemodinámicamente estable, en apirexia, sin elementos de insuficiencia respiratoria. A nivel de mano derecha presentaba pulso radial, cianosis y frialdad de 3°,4° y 5° dedo. Sin alteraciones a nivel motor ni sensitivo. No se observaron compromiso en otros territorios vasculares.
El eco doppler arterial y venoso informó: oclusión por material ecogénico de la arteria cubital en su tercio distal sin sectores de repermeabilización visible. Oclusión por material ecogénico de la arteria radial distal a nivel de la tabaquera anatómica. No se logró detectar flujo a nivel del arco palmar profundo. Escaso registro Doppler a nivel del arco palmar superficial proximal de las arterias antes mencionadas.
Requirió intervención quirúrgica de urgencia, realizándose trombectomía húmero, radial y cubital, con mejoría de la perfusión, flujo de entrada pulsátil y buen reflujo cubital y radial.
Posteriormente ingresó a sala de medicina donde se continuó con la valoración.

Figura 1. Paraclínica inicial, donde se evidencia la alteración de la función renal.

Figura 2. La crasis del paciente era normal al ingreso.
Estudios adicionales mostraron anticuerpos para síndrome antifosfolípido levemente positivos: Anticuerpo Anticoagulante Lúpico valor 1,29 CU (Unidades de Coagulación) y Anticuerpo anti-β2-GPI IgG positiva 29.2 CU, resto de factores protrombóticos dentro de parámetros normales (figuras 3 y 4).

Figura 3. Primera determinación de anticuerpos antifosfolípidos, donde se observa el AL positivo.
AL: anticoagulante lúpico.

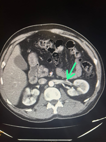
Se realizó angiotomografía de aorta total, tórax, abdomen y pelvis donde se llegó al diagnóstico de tromboembolismo pulmonar (TEP) agudo izquierdo, trombosis parcial de la vena renal izquierda (figura 5A) y signos de infarto renal bilateral (figura 5B).
Eco doppler de vasos de cuello: ateromatosis carotídea izquierda sin estenosis significativa. Angiotomografía de cráneo sin alteraciones. Eco doppler venoso de miembros inferiores sin evidencia de trombosis venosa profunda (TVP). Fondo de ojo sin alteraciones. Ecocardiograma transesofágico: cavidades cardíacas normales, fracción de eyección del ventrículo izquierdo (FEVI) 65%, sin elementos de hipertensión pulmonar (HTP) ni masas intracardiacas.
El paciente presentó buena evolución luego de iniciar tratamiento con metilprednisolona, inmunoglobulina y anticoagulación, no reiterando eventos trombóticos clínicos evidentes. Al mes de internación se otorgó el alta, asintomático y bajo tratamiento anticoagulante.
![]()
![]()

Figura 5. Angiotomografía de aorta, tórax, abdomen y pelvis. A. La flecha muestra el déficit de relleno en la vena renal izquierda. B. La flecha indica el área de infarto renal izquierdo.
La presentación catastrófica se da en un subgrupo de pacientes predispuestos, que sufren una injuria gatillante y conlleva una alta mortalidad a pesar del tratamiento adecuado. Los esfuerzos por caracterizar a este grupo de riesgo y la identificación de los desencadenantes abren la posibilidad futura de un seguimiento más estrecho de estos pacientes y de medidas preventivas específicas. Asimismo, el reconocimiento de las características particulares distintivas del síndrome catastrófico y su diagnóstico temprano con una alta sospecha, resultan de vital importancia a la luz de su curso acelerado y pronóstico ominoso. La instauración precoz de terapia adecuada, el soporte vital intensivo de las fallas orgánicas y muy en especial la corrección de los desencadenantes, pueden cambiar el curso de la enfermedad (1).
En este caso clínico, estamos frente a un paciente joven, que se presenta con cuadro de isquemia aguda en dedos de mano derecha, sin causa desencadenante evidente, a quien se le realiza paraclínica sanguínea e imagenológica, constatándose múltiples fenómenos trombóticos a nivel arterial y venoso e isquemia multiorgánica, con compromiso de 3 sistemas: pulmonar, cutáneo y renal; que sumado a la presencia de AAF positivos, se plantea como diagnóstico síndrome antifosfolipídico catastrófico probable, ya que cumple con 3 de los 4 criterios diagnósticos, dado que no contamos con evidencia histopatológica.
El paciente presentó buena evolución con prescripción de Metilprednisolona, Warfarina e Inmunoglobulina, sin aparición de nuevos episodios trombóticos desde el inicio del tratamiento.
Se reafirma el concepto de la importancia de reconocer y plantear rápidamente el diagnóstico de SAFc, dado que el diagnóstico precoz y el tratamiento en forma oportuna e intensiva, puede cambiar el pronóstico funcional y vital de estos pacientes.
NOTA: este artículo fue aprobado por el Comité Editorial.
Las autoras no reportan ningún conflicto de interés. El estudio se realizó con recursos propios de las autoras y/o la institución a la que representan.
No uso de IA: las autoras declaran que no se utilizó Inteligencia Artificial para la conceptualización o redacción de este artículo.
Se obtuvo el consentimiento informado por escrito de la persona para la publicación de cualquier imagen o dato potencialmente identificable incluido en este artículo. Se obtuvo el consentimiento informado por escrito del paciente para la publicación de este caso clínico.
(1) Collao CG, Díaz DC, Cáceres CA, Godoy GN, Pacheco RM, Pozo LD, et al. Síndrome antifosfolipídico catastrófico: caso clínico. Rev Chil Reumatol. 2017; 33(2):58-64 [citado 4 de agosto de 2025]. Disponible en: https://sochire.cl/wp-content/uploads/2021/09/r-809-1-1507070936.pdf
(2) Sociedad Española de Reumatología. Tratado SER de diagnóstico y tratamiento de enfermedades autoinmunes sistémicas. 1ª ed. Madrid: Editorial Médica Panamericana, 2018. Capítulo 67. p. 472.
(3) Barbhaiya M, Zuily S, Naden R, Hendry A, Manneville F, Amigo MC, Amoura Z, Andrade D , Andreoli L , Artim-Esen B, Atsumi T,11 Tadej Avcin,12 Michael H Belmont ,13 Maria Laura Bertolaccini,14 D Ware Branch,15 Graziela Carvalheiras,16 Alessandro Casini,17 Ricard Cervera,18 Hannah Cohen,19 Nathalie Costedoat-Chalumeau ,20 Mark Crowther,21 Guilherme de Jesús ,22 Aurelien Delluc,23 Sheetal Desai,24 Maria De Sancho,25 Katrien M Devreese,26,27 Reyhan Diz-Kucukkaya,28 Ali Duarte-García ,29 Camille Frances,30 David Garcia,31 Jean-Christophe Gris ,32 Natasha Jordan,33 Rebecca K Leaf,34 Nina Kello ,35 Jason S Knight ,36 Carl Laskin,37 Alfred I Lee,38 Kimberly Legault,39 Steve R Levine,40 Roger A Levy ,41,42 Maarten Limper,43 Michael D Lockshin,1 Karoline Mayer-Pickel,44 Jack Musial,45 Pier Luigi Meroni ,46 Giovanni Orsolini ,47 Thomas L Ortel,48 Vittorio Pengo ,49 Michelle Petri ,50 Guillermo Pons-Estel ,51 Jose A Gomez-Puerta,52 Quentin Raimboug,53 Robert Roubey,54 Giovanni Sanna,55 Surya V Seshan,56 Savino Sciascia ,57,58 Maria G Tektonidou ,59 Angela Tincani,9 Denis Wahl,2 Rohan Willis,60 Cécile Yelnik,61 Catherine Zuily,62 Francis Guillemin,5 Karen Costenbader ,63 Doruk Erkan. 2023 ACR/EULAR antiphospholipid syndrome classification criteria. Ann Rheum Dis. 2023 Oct; 82(10):1258-70. https://doi.org/10.1136/ard-2023-224609 Epub 2023 Aug 28. PMID: 37640450.
(4) Asherson RA, Cervera R, de Groot PG, Erkan D, Boffa MC, Piette JC, Khamashta MA, Shoenfeld Y, Catastrophic Antiphospholipid Syndrome Registry Project Group. Catastrophic antiphospholipid syndrome: international consensus statement on classification criteria and treatment guidelines. Lupus 2003; 12(7):530-4. https://doi.org/10.1191/0961203303lu394oa PMID: 12892393.
(5) Costedoat-Chalumeau N, Arnaud L, Saadoun D, Chastre J, Leroux G, Cacoub P, Amoura Z, Piette JC. Le syndrome catastrophique des antiphospholipides [Catastrophic antiphospholipid syndrome]. Rev Med Interne. 2012 Apr; 33(4):19499. https://doi.org/10.1016/j.revmed.2012.01.005 Epub 2012 Feb 16. PMID: 22341856.
(6) Bucciarelli S. Síndrome antifosfolipídico catastrófico [tesis doctoral]. Universidad de La Rioja, España, 2007. 116 p. Disponible en: https://dialnet.unirioja.es/servlet/tesis?codigo=3910 [Consulta 21/07/2025].
(7) Cervera R. CAPS Registry. Lupus 2012; 21(7):755-7. https://doi.org/10.1177/0961203312436866
(8) Kitchens CS. Thrombotic storm: when thrombosis begets thrombosis. Am J Med. 1998 Apr; 104(4):381-5. https://doi.org/10.1016/s0002-9343(98)00061-8 PMID: 9576413.
(9) Rossi A. Síndrome antifosfolípido catastrófico (SAFC). Hematología 2014 Ene‑Abr; 18(1):40‑7. Disponible en: https://www.sah.org.ar/revistasah/numeros/Vol18.n1.40-47.pdf [Consulta 21/07/2025].
NOTA: los datos de investigación no se encuentran disponibles.
CONTRIBUCIONES AL MANUSCRITO:
(a) Concepción, adquisición y análisis de datos, interpretación y discusión de resultados, redacción y aprobación de la versión final.
(b) Diseño, adquisición y análisis de datos, interpretación y discusión de resultados, redacción.
(c) Interpretación y discusión de resultados, redacción, revisión crítica.
(d) Interpretación y discusión de resultados, redacción, revisión crítica.
Comité de Ética y Científico de Investigación en Seres Humanos (CECISH). NOTA N° 05.
Recibido para evaluación: setiembre 2025.
Aceptado para publicación: diciembre 2025.
Fecha de publicación: enero 2026.
Correspondencia: Hospital Central de las Fuerzas Armadas. Av. Centenario 3057. C.P. 11600. Tel.: (+598) 2487 66 66. Montevideo, Uruguay.
E-mail de contacto: lorena.debernardis@gmail.com